Пре-ортодонтия работает в период активного роста — когда можно повлиять на формирование челюстей естественным образом.
Миофункциональная ортодонтия
формируем правильный прикус до того, как понадобятся брекеты


Иновационная пре-ортодонтия
Кто мы
Мы — клиника, специализирующаяся на ранней ортодонтической профилактике.
Наша задача — не выравнивать зубы в подростковом возрасте, а создать условия, при которых они вырастают правильно.
Почему это важно
В большинстве случаев брекеты становятся необходимы не из-за «плохих зубов», а из-за:
Принципы работы клиники
Работаем с причиной, а не с последствиями
Неправильный прикус — это симптом. Причина — функциональные нарушения дыхания и мышц.
Используем окно роста
Возраст 5–11 лет — период максимальной пластичности костной ткани.
Формируем пространство для зубов
Мы создаём условия, при которых постоянные зубы прорезываются без скученности.
Холистический подход
Мы рассматриваем ребёнка как единую систему:
Прикус не существует отдельно от организма.

Традиционная ортодонтия
Пре-ортодонтия
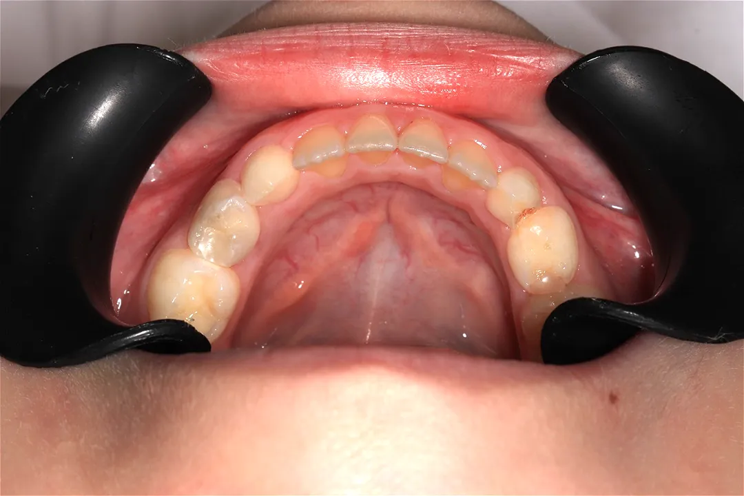
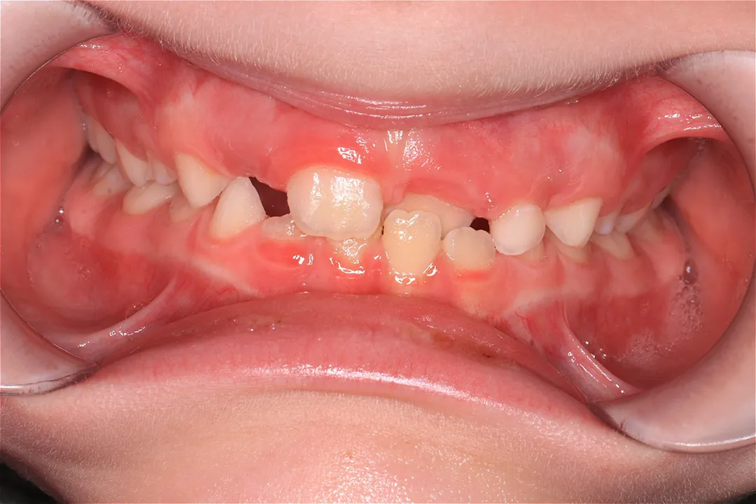
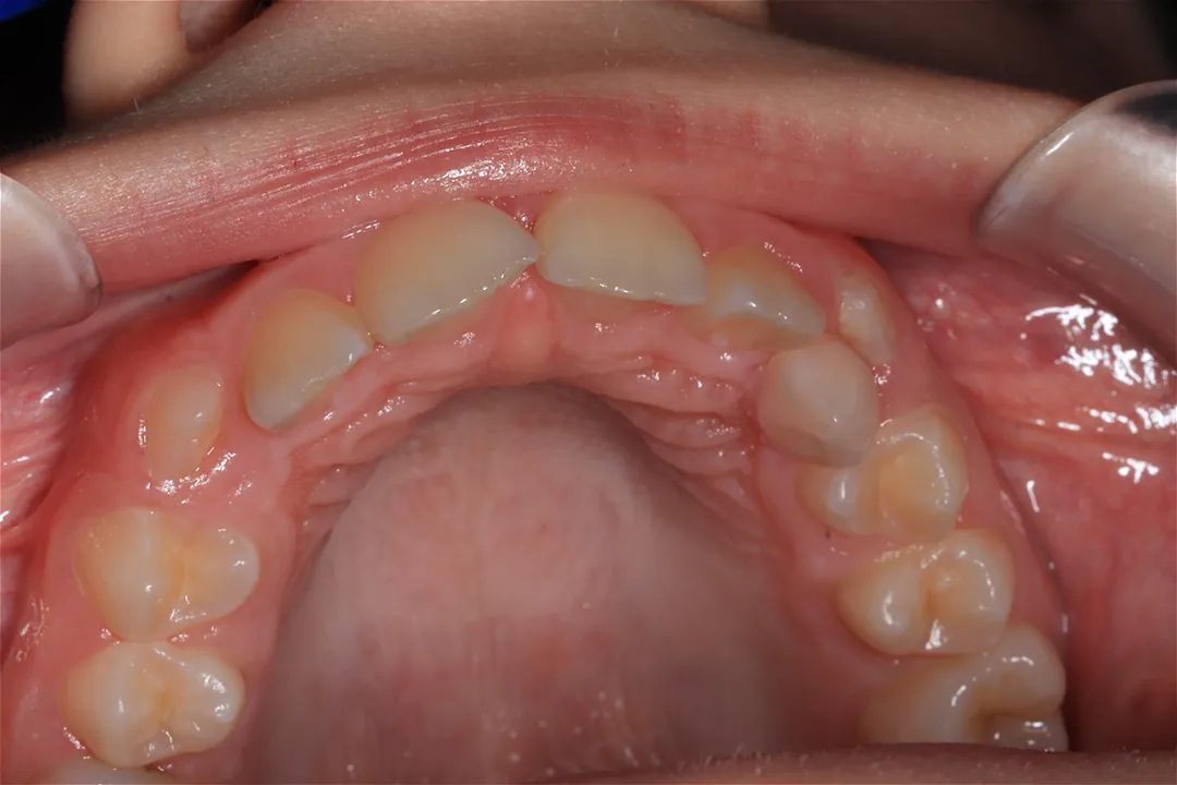
Характерные кейсы
Как проходит лечение
1. Внимательная диагностика
2. Миофункциональный трейнер
3. Миофункциональный терапевт
Стоимость лечения
Этап лечения
Стоимость
- Консультация
- Диагностика
- Миофункциональный трейнер
- Контрольный визит

Что входит в лечение
Команда, которой доверяют
родители и дети
Наши любящие врачи

Dr. Aleksandra Borzole

Dr. Jūlija Ustiča

Dr. Luize Lote Liepiņa

Dr. Viktorija Belova
С детьми работает команда врачей, которая умеет бережно сопровождать ребёнка на каждом этапе. Мы внимательно относимся не только к результату, но и к тому, чтобы ребёнок чувствовал себя спокойно, а родители понимали план лечения и были уверены в каждом шаге.
Родители чаще всего спрашиваю
Ответы на частые вопросы
Что такое пре-ортодонтия?
Пре-ортодонтия — это ранний подход к формированию правильного прикуса у детей 5–11 лет. В отличие от традиционной ортодонтии, которая чаще начинается в 12–14 лет и работает уже с зубами в сформированной челюсти, пре-ортодонтия помогает влиять на рост челюстей, дыхание, положение языка и работу мышц. То есть мы работаем не только с последствиями, а с причиной проблемы.
Сколько стоит лечение и трейнеры?
Стоимость первого этапа лечения в среднем составляет около 365 €, плюс контрольные визиты по необходимости. В него входят консультация, диагностика, миофункциональный трейнер, объяснение правил использования, сопровождение и контроль динамики. Такой подход помогает заранее понять план лечения, этапы и стоимость без неожиданных назначений.
Как проходит лечение и какие этапы?
Лечение начинается с диагностики: врач оценивает прикус, положение зубов, развитие челюстей, дыхательные пути и при необходимости назначает дополнительные снимки. Затем подбирается миофункциональный трейнер, который помогает нормализовать работу мышц и сформировать правильные привычки. При необходимости через 2–3 недели подключается миофункциональный терапевт, который даёт простые домашние упражнения на 10–15 минут в день. Контроль обычно проводится через 3 месяца, дальше — индивидуально.
В каком возрасте лучше начинать лечение?
Наиболее подходящий возраст для начала — 5–11 лет, потому что в этот период рост челюстей ещё можно мягко направлять. При этом обратиться за консультацией можно и раньше, если есть признаки нарушений, а в некоторых случаях миофункциональные аппараты применяются и у подростков, и у взрослых.
Можно ли начинать лечение раньше или позже?
Да, очень часто лечение можно начать и раньше, и позже рекомендованного возраста. Период 5–11 лет считается самым удобным для мягкой коррекции, но это не жёсткая граница. Главное — вовремя прийти на консультацию: врач оценит ситуацию и подскажет, стоит ли начинать сейчас, наблюдать в динамике или выбрать другой подход.
Как понять, что ребёнку может подойти пре-ортодонтия?
Обратить внимание стоит, если у ребёнка есть узкая верхняя челюсть, ротовое дыхание, низкое положение языка, нарушения глотания, скученность зубов или признаки недостаточного развития челюстей. Такие состояния часто становятся причиной будущих ортодонтических проблем, поэтому чем раньше провести диагностику, тем больше возможностей для мягкой коррекции.









